Medessence Metamorfozy

Po
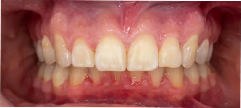
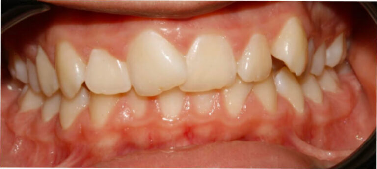
Ortodoncja

Po
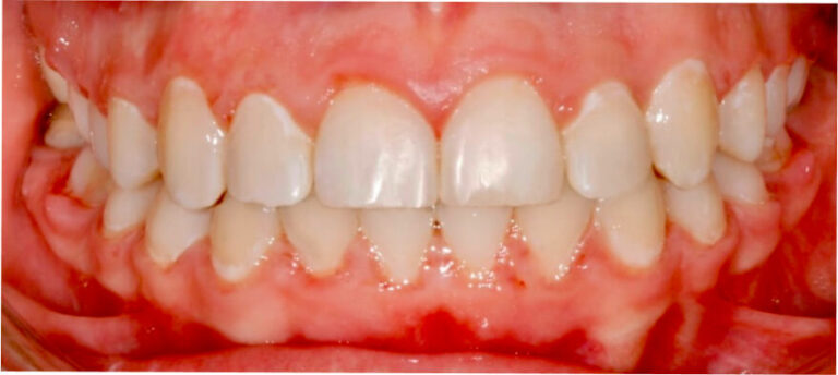
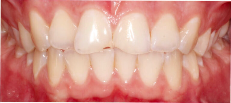
Ortodoncja

Po
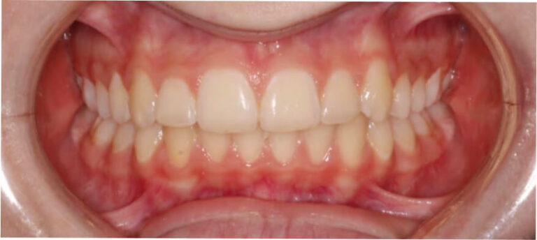
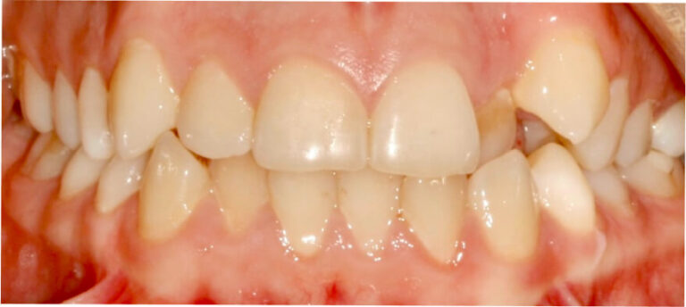
Leczenie kompleksowe, ortodoncja, bonding

Po
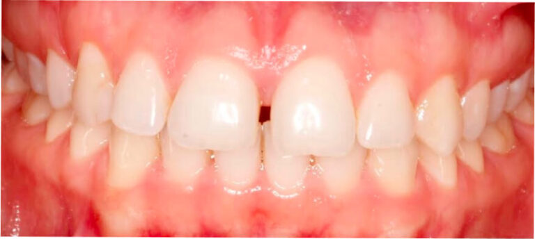
Leczenie kompleksowe, ortodoncja, bonding

Po
Leczenie kompleksowe, ortodoncja, bonding

Po

Medessence
Dowiedz się, jak nasi Pacjenci oceniają wizyty w Medessence. Dlaczego warto nam zaufać?
Bardzo polecam Pana Doktora Damiana Niedzielskiego! Pozbyłam się dwóch problematycznie ułożonych zatrzymanych ósemek. Pan Doktor poradził sobie bez najmniejszego problemu. Podczas wizyt czułam się bardzo komfortowo - w pełni zaopiekowana ;) Jestem szczerze zachwycona postawą pełną profesjonalizmu i empatii! Dziękuje :)
Graco polecam! Od 3 lat jestem pacjentkom Medessence. Odbudowa wysokoestetyczna przedniej części, leczenie kanałowe, usunięcie ósemki itd. Za każdym razem czuję się zaopiekowana w 100%. Świetne podejście do pacjenta i pełen profesjonalizm...
Ocena dotyczy leczenia ortodontycznego aparatem stałym. Jestem bardzo zadowolona z rezultatów. Na każdym etapie współpraca układała się bardzo dobrze. Polecam :)
Jestem świeżo po zdjęciu aparatu ortodontycznego u Pani dr Oli Łazorko, takiego profesjonalizmu nigdy nie doświadczyłam. 2 lata noszenia aparatu było czystą przyjemnością. Każda wizyta przebiegała w przemiłej atmosferze. Życzyłabym sobie aby każdy specjalista miał taką wiedzę i profesjonalizm.

Medessence
Dysponujemy dwoma przestronnymi i miłymi dla oka gabinetami, w których zapewniamy Państwu najwyższy komfort. W oczekiwaniu na wizytę, w poczekalni, mogą Państwo zaznać chwili relaksu z filiżanką kawy i nastrajającą muzyką w tle.
Obecnie trwa przebudowa skrzyżowania w pobliżu Medessence, dlatego liczba dostępnych miejsc parkingowych jest ograniczona. Dla naszych pacjentów udostępniliśmy dodatkowe miejsca parkingowe za szlabanem akademika Student Depot – miejsca nr 3, 4 i 5 (są oznaczone). Aby wjechać na teren parkingu, należy podać hasło: „Medessence” oraz zadzwonić do ochrony akademika pod numer: 695 764 858.
Numer konta - Millenium
85 1160 2202 0000 0002 9425 5370
Nip
7181974501
Regon
142726557
Medessence
Napisz do nas. Skontaktujemy się z Tobą w celu ustalenia terminu konsultacji!
Fomularz kontaktowy
Napisz do nas - oddzwonimy do Ciebie, aby ustalić termin wizyty.